以诚为本赢在诚信9001
当前位置: 首页 > 就诊指南 > 常见眼病新闻 > 正文

哪些原因导致黄斑变性

作者:未知 2018-04-04 16:24:47
字体大小:
【导读】老年人随着年龄增长,黄斑区血管产生异常,黄斑出血、渗出,就损害了视功能,这是很常见的致盲性老年眼病。强烈撞击到眼睛等也会造成黄斑损害或裂孔;由于高度近视造成黄斑裂孔或劈裂等引起严重影响视功能的黄斑病变等。

  黄斑是视力 敏锐的地方,颜色有点黄,它在视网膜上,像一个斑块,是视锥细胞 集中的地方,于是有了一个名字,叫“黄斑”,哪些行为会损害黄斑健康。


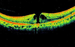
老年人随着年龄增长,黄斑区血管产生异常,黄斑出血、渗出,就损害了视功能,这是很常见的致盲性老年眼病。强烈撞击到眼睛等也会造成黄斑损害或裂孔;由于高度近视造成黄斑裂孔或劈裂等引起严重影响视功能的黄斑病变等。1.jpg

  精神紧张,长期熬夜

  中青年人如果精神太紧张、过度劳累、经常熬夜,这个部位就会发生一个“小爆破”——脉络膜毛细血管张力过大,色素上皮紧密连接处的地方出了问题,造成脱离,即是中性型浆液型脉络膜视网膜病变,简称“中浆”。


  生理机能老化致黄斑变性

  老年人随着年龄增长,黄斑区血管产生异常,黄斑出血、渗出,就损害了视功能,这是很常见的致盲性老年眼病。


老年人随着年龄增长,黄斑区血管产生异常,黄斑出血、渗出,就损害了视功能,这是很常见的致盲性老年眼病。强烈撞击到眼睛等也会造成黄斑损害或裂孔;由于高度近视造成黄斑裂孔或劈裂等引起严重影响视功能的黄斑病变等。2_副本.jpg

  眼外伤、高度近视影响

  外伤、激光笔、打球强烈撞击到眼睛等也会造成黄斑损害或裂孔;由于高度近视造成黄斑裂孔或劈裂等引起严重影响视功能的黄斑病变等。另外,遗传、环境、饮食、用眼都可能诱发黄斑异常。


  如何自测黄斑健康状况:

  对于老年人或者是有以上不良习惯的人而言,有两个方法可以让我们及早得知黄斑的健康状况。

  方法1:平时做体检,可以用阿姆斯勒方格表,盯着中间点看,表格会不会变形、缺损,这是目前 简单的方法

  方法2:五十岁以上老年人定期做眼底OCT检查,就可以知道黄斑区有哪些早期的病变了。

在线咨询
返回

  • 华北地区
  • 华南地区
  • 西南地区
  • 华中地区
  • 华东地区
  • 西北地区
  • 东北地区
以诚为本赢在诚信9001微信公众号 微信公众号